Trang chủ
Nuôi trồng thủy sản
Kỹ thuật
Giống thủy sản
Bệnh và điều trị
Thời sự
Thời sự
Chính trị
Đời Sống
Giáo dục
Thị trường
Gia súc - gia cầm
Rau củ - hoa quả
Lâm nghiêp
Thủy sản
Lương thực
Kinh doanh
Cung ứng
Phân phối
Sản xuất
chế biến
Nhập xuất khẩu
Khuyến nông
Công nghệ
Khoa học - kỹ thuật
Tư vấn
Thời tiết - sâu bệnh
Thủy Sản TV
Khởi nghiệp
Nông nghiệp
Trồng trọt
Chăn nuôi
Đánh bắt
Lâm nghiệp
Giải trí
Liên hệ
Tin tức
Thuốc thủy sản
Phân bón
Rượu
02693 865 295 - 0963 107 179
truongsinh.gli@gmail.com
Nuôi trồng thủy sản
Kỹ thuật
Giống thủy sản
Bệnh và điều trị
Thời sự
Thời sự
Chính trị
Đời Sống
Giáo dục
Thị trường
Gia súc - gia cầm
Rau củ - hoa quả
Lâm nghiêp
Thủy sản
Lương thực
Kinh doanh
Cung ứng
Phân phối
Sản xuất
chế biến
Nhập xuất khẩu
Khuyến nông
Công nghệ
Khoa học - kỹ thuật
Tư vấn
Thời tiết - sâu bệnh
Thủy Sản TV
Khởi nghiệp
Nông nghiệp
Trồng trọt
Chăn nuôi
Đánh bắt
Lâm nghiệp
Giải trí
Liên hệ
Kỹ thuật
Giống thủy sản
Bệnh và điều trị
Nuôi trồng thủy sản
Thứ bảy, 25/11/2023 - 01:13 PM
534
Bổ sung Magie cho tôm
Bổ sung Magie cho tôm (TSVN) – Magie là một trong những khoáng chất quan trọng cho sự phát triển của tôm, giúp tôm lớn nhanh, cứng cáp, khỏe mạnh và đồng thời làm tăng năng ...
Thứ hai, 06/11/2023 - 08:15 AM
518
Hệ lụy lớn từ thiếu kiểm soát
Hệ lụy lớn từ thiếu kiểm soát (TSVN) – Tôm nước lợ là một trong những đối tượng nuôi, sản phẩm xuất khẩu chủ lực của cả nước. Diện tích và sản lượng tôm nuôi hàng ...
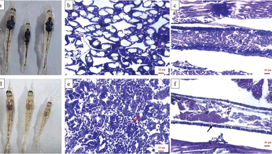
Bệnh TPD gây mất cân bằng môi trường nước và hệ vi sinh vật đường ruột
Thứ năm, 26/10/2023 - 08:48 AM
CẤP BÁCH ỨNG PHÓ DỊCH BỆNH
Thứ ba, 24/10/2023 - 10:18 AM
Thứ hai, 16/10/2023 - 09:23 AM
PCR - Giải pháp xác định bệnh sớm ở tôm
Thứ sáu, 06/10/2023 - 04:02 PM
Tôm chết đỏ ao do nhiễm bệnh gan trắng
Thứ năm, 05/10/2023 - 03:04 PM
Bệnh "mờ đục thân" - Bệnh mới gây nguy hiểm trên tôm thẻ chân trắng
Thứ hai, 18/09/2023 - 09:07 AM
Các phương pháp gây màu nước cho ao nuôi.
CÁC GIẢI PHÁP HIỆN TẠI KHI ĐIỀU TRỊ BỆNH GAN TỤY TRÊN TÔM
Thứ năm, 14/09/2023 - 09:22 AM
498
Phòng tránh Hội chứng Taura trên TTCT
Thứ ba, 22/08/2023 - 09:20 AM
653
Chống nóng cho tôm nuôi
Thứ sáu, 26/05/2023 - 01:58 PM
660
Một số tác động của vi bào tử trùng trên tôm thẻ chân trắng
Thứ tư, 03/05/2023 - 08:40 PM
733
Cà Mau: Kỳ lạ nuôi tôm siêu thâm canh hiệu quả bằng thảo dược
Thứ năm, 06/04/2023 - 04:05 PM
987
«
1
2
3
4
5
6
7
»
...
40
Kỹ thuật
Xem tất cả...
Thứ hai, 05/01/2026 - 04:10 PM
HỘI NGHỊ KHÁCH HÀNG TRƯỜNG SINH 2025 GIEO GIÁ TRỊ – GẶT NIỀM TIN
Khí độc ao tôm: Nguy cơ và hướng xử lý
Ngăn chặn H2S trong ao nuôi
Chất lượng nước: 10 thông số và 5 cách quản lý hiệu quả
Giống thủy sản
Xem tất cả...
Thứ hai, 04/08/2025 - 07:30 AM
Ảnh hưởng của độ kiềm lên tăng trưởng và tỷ lệ sống của tôn sú giống ương theo công nghệ biofloc
11 đặc điểm của tôm khỏe và tôm bệnh
Cần Thơ: Người nuôi cá tra lỗ từ 5.000 - 6..500 đồng/kg
Nhiều bất trắc vụ tôm mới tại ĐBSCL, người nuôi lo lắng
Bệnh và điều trị
Xem tất cả...
Thứ hai, 12/01/2026 - 11:06 AM
TS EHP – GIẢI PHÁP KIỂM SOÁT VI BÀO TỬ TRÙNG (EHP), BẢO VỆ TÔM KHỎE TỪ BÊN TRONG
5 lỗi trong quản lý dinh dưỡng cho tôm mùa bão
Quản lý pH ao nuôi mùa mưa
TS GANTAT 5in1- Giải Pháp Bảo Vệ Gan Toàn Diện Giúp Tôm Khỏe Mạnh, Tiết Kiệm Chi Phí
Tiêu điểm
Tư vấn
Trang chủ
Nuôi trồng thủy sản
Thời sự
Thị trường
Kinh doanh
Khuyến nông
Thủy Sản TV
Khởi nghiệp
Nông nghiệp
Giải trí
Liên hệ